改良潘氏点穿刺脑室技术 精准清除脑内血肿
【本网讯】近日,襄阳市第一人民医院高新院区神经外科专家团队成功完成了一例神经内镜下脑内及脑室内血肿清除手术,首次运用了改良潘氏点穿刺脑室技术,这一技术的运用精确地避开了语言中枢,为未来类似手术的进行积累了宝贵的经验。
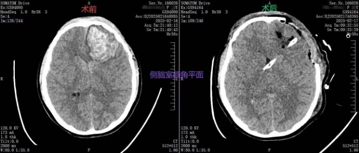
据悉,2月16日晚,一名14岁的学生因头部外伤出现意识障碍,被紧急送往我院。患者入院时处于昏迷状态,呼吸暂停明显,紧急CT检查显示头部多处出血量大,病情极为危急,若不立即抢救,患者随时可能面临生命危险。情况十分紧急,家属焦虑万分。
神经外科刘岳主任带领团队成员迅速启动应急方案,对患者进行了全面评估,并决定采用神经内镜下血肿清除术。与家属沟通后,医护人员立即完成了术前准备,并将患者送入手术室。

在手术过程中,团队成员张志涛、刘汪旺首次运用改良潘氏点穿刺脑室技术,在神经内镜提供的清晰视野下,进行了精准的操作。他们凭借丰富的临床经验和精准的操作技巧,迅速完成手术,成功避开了语言中枢,通过单一入路解决了脑内及脑室内血肿清除的两大难题,彻底清除了血肿,成功解除了患者的生命威胁。

手术后,患者意识恢复良好,四肢活动自如,能够正常说话,生命体征稳定。患者家属对医院的救治表示了高度认可,并对医护团队的辛勤付出表示了诚挚的感谢。
刘岳表示,脑出血是神经外科中常见的急危重症,通常发生突然,致死率和致残率极高。对于出血量大的患者,术前准备是至关重要的,必须争分夺秒;我院为急诊患者建立了绿色通道,确保神经外科团队能够在患者入院后立即完成术前准备,确定最佳的治疗与手术方案,迅速开展手术,为抢救患者赢得了宝贵时间。近年来,随着微创手术技术的进步,神经内镜手术逐渐成为脑出血手术的主要治疗方法,与传统开颅手术相比,具有省时、微创、直视下清除血肿等优点。襄阳市第一人民医院神经外科已熟练开展神经内镜下脑内血肿清除术、神经内镜下脑室内血肿清除、立体定向下脑内血肿穿刺引流等微创手术,显著提升了脑出血患者的救治水平。
(高新院区神经外科:张经纬、赵丹丹)
扫一扫 手机端浏览

公众号
互联网医院
抖音